
The executive order seeks to promote continued innovation and growth with artificial intelligence (AI) while ensuring monitoring of AI models for safety, privacy, and equity.


The executive order seeks to promote continued innovation and growth with artificial intelligence (AI) while ensuring monitoring of AI models for safety, privacy, and equity.

Catch up on the top radiology content of the past week.

Catch up on the top AI-related news and research in radiology over the past month.

An emerging deep learning algorithm can reportedly triage 40 percent of no-change X-rays while providing 88 to 90 percent accuracy for detecting changes with X-rays obtained in the emergency department and intensive care unit at a tertiary referral hospital, according to recently published research.

The artificial intelligence (AI)-powered software VUNO Med-DeepBrain reportedly automates brain MRI segmentation and provides access to volumetric data on over 100 regions of the brain.

Catch up on the top radiology content of the past week.

While ChatGPT has the potential to help streamline responses to imaging-related questions from patients, the authors of a new study found that a third of ChatGPT responses to unprompted questions on medical imaging were not “fully relevant.”

In a multicenter cohort of patients with interstitial lung disease (ILD), a deep learning classification tool demonstrated an 81 percent sensitivity rate and a 77 percent specificity rate for predicting usual interstitial pneumonia on computed tomography (CT) scans.

Artificial intelligence (AI) software assigned high malignancy risk scores to mammography exams completed up to two years prior to breast cancer diagnosis in over 38 percent of screen-detected cancer cases and over 39 percent of interval cancer cases, according to newly published research.

The Allia IGS Pulse reportedly has the first monopolar X-ray tube geared to interventional procedures.

Utilized in conjunction with screening digital mammography or digital breast tomosynthesis (DBT), the artificial intelligence (AI)-powered software cmAngio may help detect and localize breast arterial calcification (BAC), an incidental finding that has been linked to an elevated risk for heart disease and stroke.

In reportedly the eighth FDA 510(k) clearance for Hyperfine’s Swoop portable brain MRI device, clinicians will now have access to enhanced denoising capabilities with diffusion-weighted imaging (DWI) sequences.

Catch up on the top radiology news of the past week.

Geared to clinicians who may lack ultrasound expertise, the artificial intelligence (AI)-powered Caption Guidance technology reportedly provides stepwise instruction for acquiring optimal cardiac ultrasound images.

While the artificial intelligence (AI) triage system significantly reduced wait times for computed tomography pulmonary angiography (CTPA) results that were positive for pulmonary embolism (PE), researchers found no significant differences in the use of adjunctive AI with respect to accuracy rates and specificity rates.

The Rology teleradiology platform may improve access to top tier-imaging interpretation for stand-alone imaging centers, rural facilities and low-income patients.

Integrating clinical data parameters along with chest X-ray findings, the multimodal artificial intelligence (AI) model outperformed the use of clinical parameters only and chest X-rays only for various conditions ranging from congestive heart failure and chronic kidney disease to hypertension and pneumonia.

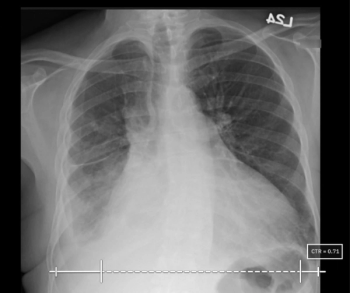
Leveraging artificial intelligence (AI) algorithms, the qXR-CTR reportedly provides automated cardiothoracic ratios (CTRs) through assessment of plain chest radiographs.

Is the continued rise of artificial intelligence (AI) driven by legitimate “machine learning,” or do the frequently “suspicious” chest X-rays and questionable detection of subtle findings on head CTs reveal a hype-driven train of new products with an ultimately “planned obsolescence”?

Catch up on the top radiology news of the past week.

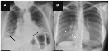
In a multicenter study examining four commercially available artificial intelligence (AI) software products for chest X-rays in over 2,000 patients, researchers found sensitivity rates ranging between 33 to 61 percent for vague airspace disease and 9 to 94 percent for small pneumothorax and pleural effusion.

The MAGNETOM Viato.Mobile may facilitate improved access to MRI capabilities for patients with serious health conditions who lack geographic proximity to centers with advanced imaging.

The Exo Iris reportedly combines advanced silicon technology with imaging, workflow software and artificial intelligence (AI) to facilitate multidisciplinary use of point-of-care ultrasound.

Catch up on the top AI-related news and research in radiology over the past month.

Catch up on the top radiology news of the past week.