FDA Clears Advanced Lung Nodule Assessment Software for CT Scans
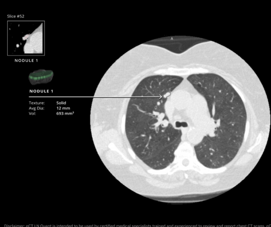
The AI-powered qCT LN Quant software reportedly generates 2D and 3D reconstructions and facilitates assessment of morphologic data across multiple thoracic studies.
Offering advanced quantitative evaluation of solid lung nodules, the artificial intelligence (AI)-powered software qCT LN Quant has garnered 510(k) clearance from the Food and Drug Administration (FDA).
In addition to providing short-axis, long-axis and average diameter measurements of lung nodules, the qCT LN Quant software enables radiologists to determine estimated volume doubling time and assess nodule tracking for multiple thoracic studies, according to Qure.ai, the developer of qCT LN Quant.
The company also points out that qCT LN Quant provides Brock malignancy risk scoring, 2D and 3D image reconstructions and management suggestions based on Fleischner Society guidelines.
“(qCT LN Quant is) the next stage solution in the AI-optimized patient pathway to evaluate lung nodules on at-risk patient CT scans, giving precise quantitative characterization, plus tracking volumetric growth over time,” noted Bhargava Reddy, the chief business officer of oncology at Qure.ai.
In regard to reimbursement for use of qCT LN Quant, Qure.ai said the software is “potentially eligible” for the 3D reconstruction CPT code as well as the CPT 0722T code for tissue quantification.
Newsletter
Stay at the forefront of radiology with the Diagnostic Imaging newsletter, delivering the latest news, clinical insights, and imaging advancements for today’s radiologists.





























