CT moves ahead withmultiple energy sources
Hounsfield units, displayed asgray levels on standard CTimages, represent the x-rayattenuation of the materialmix in each image voxel.
Hounsfield units, displayed as gray levels on standard CT images, represent the x-ray attenuation of the material mix in each image voxel. It is not possible, however, to differentiate materials of identical x-ray density using this attenuation information alone. A mixture of blood and contrast in a vessel, for example, cannot be distinguished from adjacent bone or from calcifications in the vessel wall if the blooddiluted contrast agent has the same attenuation as these materials.
Dual-energy CT techniques have the potential to identify different chemical elements by sampling the attenuation of material mixtures at two different x-ray energy levels. This technique applies even when the two materials of interest have similar absorption properties.
The use of dual-energy x-ray techniques in healthcare has traditionally been limited to conventional projection techniques. Dual-energy x-ray absorptiometry bone densitometry is used widely to quantify bone mineralization for osteoporosis screening and therapy monitoring. Dual-energy chest radiography improves the detection of pulmonary masses by specifically highlighting bone and calcified structures or soft tissue.
Dual-energy applications for CT were proposed as early as 1976, but they did not enter widespread clinical practice owing to technical limitations.1,2 The initial approach was to acquire two separate scans, which was shown to be feasible for the quantification of fat3 and iron4 content in the liver. Data at the two energy levels could not be acquired simultaneously, though, and interscan motion had a severe impact on results. The inevitable change in contrast concentration between the scans also hampered dual-energy detection of iodine.
Some CT scanners overcame this limitation by rapidly switching the tube voltage during rotation. These systems were used for bone densitometry.5 They could not, however, adapt the tube current fast enough to achieve equivalent doses at both energy levels. The result was considerably higher noise levels in the lower energy data, resulting in artifacts and loss of resolution.
Another approach to dual-energy CT is to use just one x-ray source and a multilayered detector, each layer registering a specific band of energy for the attenuated x-rays. For optimal performance, the spectrum of energy distribution has to be extremely wide, or even have two distinctive peaks. In practice, this would be hard to achieve with one x-ray source. The latest generation of dual-energy CT systems that work according to this principle are being built with energy-sensitive photoncounting detectors that can be used with a single kVp x-ray source.6
Dual-energy CT is now available for clinical use on scanners that integrate two complete detector-tube assemblies into one rotating gantry. This dualsource setup has been designed primarily to increase temporal resolution for cardiac imaging.7,8 It also allows simultaneous acquisition of data at two tube currents without the limitations imposed by the energy spectrum of a single-tube x-ray or by the necessity of rapid tube current adaptation.9
Matter penetrated by x-rays will absorb and scatter a certain fraction of the passing photons. This absorbed fraction will be lower for high-energy xrays and increase with decreasing photon energy. The curve that describes this change of attenuation over the x-ray spectrum-the attenuation coefficients or absorption spectrum-is characteristic for each element.
Imaging of a given material mixture using dual-source CT is performed with two x-ray beams of different effective photon energies. The combined absorption spectrum of the mixture is sampled at two points of the energy spectrum. These two data points, together with a priori knowledge of the mixture’s components and their relative densities, can be used to determine the concentration of three materials in each volume element (voxel) examined. On diagrams showing the HU at 80 kV versus the HU at 140 kV, pure materials are represented by a point, voxels containing a mixture of two materials will fall on the line between the two pure materials, and voxels containing all three will fall in the triangle spanned by the three points.
Dual-energy CT data can be analyzed by combining projection data acquired at two different voltages before image reconstruction or by first reconstructing separate series of images for both tube voltages and then analyzing the attenuation differences of corresponding voxels. The acquisition geometry dictates that dual-source CT systems use the second method.
CONTRAST CHOICE
Contrast used with dual-energy CT should ideally show an attenuation difference between the two x-ray energy levels that is very different from the attenuation deltas of the main background elements. The main attenuating elements in the human body are water, which is the 0 HU calibration point for all tube voltages, and bone. The attenuation of bone increases by a factor of approximately 1.4 between the 140-kV and the 80-kV scan. A dual-energy contrast agent should consequently have an attenuation ratio that is higher than 1.4.
Absorption spectra are generally shaped like asymptotic curves with discontinuities (k-edges). The absorption difference between the two effective sampling points in the x-ray spectrum (56 keV for 80 kV tube current, 6 keV for 140 kV tube current) will be larger for heavier elements.
Iodine, the default contrast agent for CT, has an attenuation ratio of approximately 2, making it highly suitable for dual-energy CT. Experiments with nonclinical contrast agents containing lanthanide metal ions showed that lanthanum had detectability similar to that of iodine.10 Gadolinium also offers separation comparable to that of iodine. The amount needed, however, would be similar to the amount of iodine used routinely in CT imaging. The dose of gadolinium administered for dual-energy CT would be considerably higher than that used for clinical MRI; this approach has been followed for iodineallergic patients, even in single-energy CT, but is not widely used due to the high gadolinium dose.
POSTPROCESSING
Three series of images are typically reconstructed from a dual-energy scan: one from the 80-kV tube-detector pair, one from the 140-kV tube-detector pair, and a weighted combination of the two sets. The combined series is roughly equivalent to a conventional 120-kV scan with the sum of the doses of the two dual-energy scans.
The two dual-energy scans are input into specialized postprocessing algorithms that return one or more series with the desired additional information; for example, the concentration of iodine in tissue, images with bone removed, or images with contrast removed. This additional information is then used to enhance the 120-kV-equivalent series or evaluated separately.
A variety of clinical applications is available at present as postprocessing options. Bone-free or plaque-free CT images of the head and body can be created, and contrast subtracted from iodine maps of the liver and lung.
Tendons, ligaments, and cartilage are highlighted by one postprocessing algorithm, while another algorithm discriminates uric acid kidney stones from deposits that cannot be treated pharmacologically. Additional algorithms support improved visualization of small vessels in lung CT angiography, differentiation between hemorrhage and contrast agents in brain CTA, imaging of gout by concurrent visualization of uric acid crystals, bone, and contrast, and the differentiation of contrast uptake in the myocardium from water or fatty infiltration.
CLINICAL APPLICATIONS
CT has become the method of choice for imaging patients with suspected acute pulmonary embolism (
Color-coded maps of parenchymal contrast enhancement have been advocated as a valuable adjunct to the direct visualization of clots on CT images. These perfusion maps can be acquired by subtracting unenhanced CT data from contrast-enhanced pulmonary CTA data. The technique requires two scans at comparable inspiration depth, but this is extremely difficult to realize in critically ill patients without spirometric control. This problem is solved by simultaneous acquisition of energy data using dual-source CT. The iodine image can be color-coded and matched with the original CT image. Perfusion deficits may then be visualized clearly.
Iodine maps acquired in this manner can be used to highlight contrast enhancement in tissue (for instance, in lymph node metastasis) and to help differentiate viable tumor from necrosis and surrounding tissue.
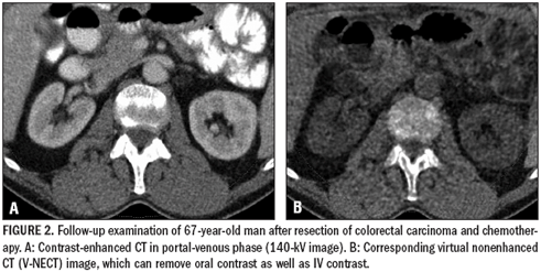
Dual-energy iodine maps cannot quantify dynamic parameters such as blood volume, blood flow, time-topeak enhancement, or mean transit time, as CT perfusion imaging can. The technique can, however, help to discern lesions with contrast uptake from those without and help monitor the effects of chemotherapy (Figures 2 to 5).
Iodine information can also be subtracted from CT data to produce virtual nonenhanced CT images. V-NECT and contrast-enhanced CT images are exactly comparable, but V-NECT requires just one CT scan, not two. The total radiation dose to the patient is consequently lower. The disadvantage of this approach is that V-NECT images have a limited field-of-view, and image quality is reduced compared with genuine unenhanced CT.
V-NECT enhances the detection of small calculi within the kidneys, despite avidly enhanced renal parenchyma. The protocol also improves detection of calculi in the bowel (for example, appendicoliths) in patients who have received positive oral or negative rectal contrast.
Bone removal can improve the assessment of cerebral aneurysms, especially for the infraclinoid segments of the internal carotid artery.11 Bone removal also facilitates detection of hemodynamically relevant stenoses in arteries at the skull base and, particularly in peripheral CTA studies, in the lower legs.
Various methods can be applied to remove bone from images. One option is to use segmentation algorithms. Registration algorithms can be applied to map a bone mask from an unenhanced CT scan onto the CTA and subsequently eliminate bone voxels. The third approach is to use dual-energy algorithms.
The advantage of the segmentation method is that it is a purely software- based process and does not require an additional scan. The disadvantages are that user interaction is required, the process is time-consuming, and results may not be satisfying in areas of close bone-vessel contact. Registration algorithms are fully automatic and produce excellent results within a very short processing time (two to five minutes), but an additional unenhanced CT scan is needed, which may introduce the problem of motion between the two scans.12
Dual-energy algorithms do not face this problem because both 80- kV and 140-kV scans are acquired simultaneously. Calcified plaque can be removed as well as bone using this method
With images created from dualenergy algorithms, calcium and iodine may be classified with different colors in patients with aortic aneurysms, dissections, or mural hematomas to highlight pathology. This can be advantageous in the acute setting and in follow-up studies after interventional procedures, such as endograft placement, to differentiate calcified thrombus from hematomas
PRACTICAL POINTERS
Similar noise levels in both 80-kV and 140-kV images are important for dual-energy imaging. This is achieved when the tube current operating at 80 kV is approximately 4.25 times higher than the current of the 140-kV tube. Using a higher tube current for the 80-kV system can require scanning to be slower, and pitch values of 0.55 to 0.75 are commonly used. Acceptable breath-hold times for individual patients can easily be exceeded if large areas of the body are examined.
The following techniques can be employed to avoid the current of the 80-kV tube becoming a limiting factor:
• Automatic dose modulation. This will ensure optimal distribution of the available dose over the scan, resulting in an even noise level.
• Lower rotation time or slower pitch. This will increase the scan time, so will decrease the tube current needed to achieve the required dose. Balancing pitch versus rotation time can be used to gain the shortest scan at the required dose.
• Collimation with a larger zcoverage. This will increase tube utilization (provide a faster scan or increase dose) at the expense of some spatial resolution.
Full dual-energy information is available only within an FOV of 26 cm diameter with the currently available dual-source CT systems. This is adequate for imaging the head and neck. For applications in the chest, abdomen, or the extremities, however, and especially in larger patients, it is essential that the region-of-interest is placed precisely within this central FOV.
Newsletter
Stay at the forefront of radiology with the Diagnostic Imaging newsletter, delivering the latest news, clinical insights, and imaging advancements for today’s radiologists.









