
AI Coverage
about 19 hours ago
Top Radiology Video Interviews in January 20262 days ago
Advances in AI — January 2026Latest News

Shorts










Podcasts
Videos
Continuing Medical Education
All News

Whether it’s a home gym, a healthy diet or a prudent approach to savings and eventual retirement, there are key ‘assets’ that can help sustain a strong quality of life.

Catch up on the top radiology content of the past week.

Catch up on a variety of new FDA clearances in radiology from the past week.

Sharing his insights as well as findings from recent research, Mina Makary, M.D., discussed pertinent challenges with diversity and resident attrition rates in interventional radiology and possible approaches to address these issues.

A prospective research comparison of ultra-low-dose (ULD) PCCT and low-dose (LD) PCCT protocols yielded comparable image quality and strong agreement on emphysema severity assessments with ULD PCCT offering significantly reduced radiation dosing.

Employing low pressure ultrasound treatment to break up kidney stones, the Break Wave lithotripsy device offers a non-invasive, anesthesia-free alternative

In recent interviews, Rajesh Bhayana, M.D., Manisha Bahl, M.D., and Jeremie Calais, M.D., Ph.D., shared their thoughts on agentic AI, key directions in breast imaging research and emerging trends with prostate cancer theranostics in 2026.

Geared toward facilitating earlier detection and efficiencies in emergency department workflow, the AI triage software reportedly has 11 newly cleared indications.

In a prospective comparison with prior criteria for evaluating hepatocellular carcinoma surveillance, the American Association for the Study of Liver Diseases (AASLD) version 2023 system offered significantly higher sensitivity.

In a recent interview, Manisha Bahl, M.D., discussed recent research demonstrating a significant decline in the sensitivity of digital breast tomosynthesis (DBT) with increasing breast density as well as challenges in the utilization of supplemental imaging for women with dense breasts.

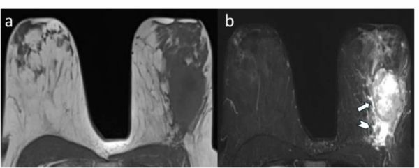
In a seven study meta-analysis with a total of 493 cases involving high-risk breast lesions, researchers found that contrast-enhanced breast MRI did not miss any cases of invasive breast cancer.

In a recent interview, David Yankelevitz, M.D., discussed the recent FDA clearance of the AI-CVD multisystem screening software and the ongoing evolution of incorporating computed tomography into personalized screening and risk assessments.

Incorporating AI to reduce artifacts and bolster soft tissue contrast, the Elekta Evo CT-Linac system reportedly improves detection of tumors and organs-at-risk.

While some job offers may sound very tempting, savvy radiologists ask prospective employers to show more than the money in order to assess a potential jump for a new gig.

Catch up on a variety of new FDA clearances in radiology from the past week.






























